Penyakit hepatitis merupakan salah satu gangguan serius pada organ hati yang sering kali tidak orang sadari karena gejalanya muncul secara bertahap.
Melalui gambar penyakit hepatitis yang akurat, kita dapat memahami seperti apa perubahan fisik dan kerusakan organ yang terjadi akibat infeksi virus maupun faktor lain.
Foto medis ini membantu memberikan gambaran nyata mengenai kondisi hati yang meradang, perubahan warna kulit, hingga tanda-tanda klinis yang kerap diabaikan banyak orang.
Dengan mengenali ciri visual hepatitis sejak dini, proses pencegahan dan penanganan dapat dilakukan lebih cepat dan tepat.
Tanda Fisik pada Tubuh Akibat Penyakit Hepatitis
Tubuh manusia memiliki mekanisme unik dalam memberikan sinyal bahaya ketika organ hati mengalami gangguan fungsi yang berat.
Salah satu tanda paling mencolok terlihat lewat perubahan warna pada bagian putih mata atau sklera pasien.
Sklera yang sehat seharusnya berwarna putih bersih tanpa bercak keruh atau rona kekuningan sedikitpun.
Namun, kadar bilirubin yang melonjak tinggi dalam darah akan mengubah warna sklera menjadi kuning terang atau gelap.

Organ hati yang sakit gagal memproses zat sisa pemecahan sel darah merah ini secara optimal.
Kulit tubuh juga sering menampakkan perubahan warna serupa yang biasa masyarakat kenal sebagai penyakit kuning atau jaundice.
Warna kuning ini bisa menyebar mulai dari area wajah hingga ke seluruh permukaan kulit tubuh pasien.
Selain itu, telapak tangan pasien gangguan hati sering terlihat memerah secara tidak wajar atau mengalami eritema palmaris.
Pembuluh darah kapiler yang pecah pada area wajah dan dada juga sering muncul membentuk pola seperti laba-laba.
Tanda visual ini muncul akibat ketidakseimbangan hormon yang terjadi karena kegagalan fungsi hati dalam mengatur metabolisme tubuh.
Baca: Obat Mata Bengkak yang Cepat Reda, Banyak Orang Belum Sadar
Perubahan Struktur Organ dalam Fase Penyakit Hepatitis Kronis
Kondisi internal organ hati pada pasien yang menderita infeksi virus jangka panjang mengalami perubahan bentuk yang drastis.
Hati yang sehat memiliki permukaan halus, berwarna merah kecokelatan, dan bertekstur lunak serta kenyal saat dokter merabanya.
Namun, serangan virus yang persisten memicu peradangan hebat yang berujung pada kematian sel-sel hepatosit penyusun organ hati.
Tubuh merespons kerusakan ini dengan membentuk jaringan parut atau fibrosis yang bersifat permanen dan kaku.
Akumulasi jaringan parut yang semakin banyak akan mengubah tekstur hati menjadi kasar, berbenjol, dan keras.
Kondisi ini menandakan terjadinya sirosis yang membuat aliran darah menuju organ hati menjadi sangat terhambat.
Foto medis sering memperlihatkan ukuran hati yang mengecil dan mengerut jauh dari ukuran normalnya yang besar.
Fungsi vital hati sebagai penyaring racun pun menurun drastis seiring dengan perubahan struktur anatominya yang rusak parah.
Lemak yang menumpuk berlebih atau fatty liver juga sering mengubah warna hati menjadi lebih pucat kekuningan.
Baca: Obat Mata yang Bagus untuk Redakan Perih dan Pandangan Buram!
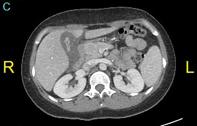
Teknologi Pencitraan Medis untuk Deteksi Kerusakan Hati
Para ahli medis mengandalkan teknologi pencitraan canggih untuk melihat kondisi organ dalam tanpa perlu melakukan pembedahan besar.
Ultrasonografi atau USG menjadi metode awal yang paling umum bagi dokter untuk memeriksa tekstur permukaan hati.
Gelombang suara berfrekuensi tinggi mampu memetakan kepadatan organ dan mendeteksi adanya benjolan atau cairan abnormal.
Hasil citra USG pada pasien gangguan hati biasanya memperlihatkan gema yang lebih terang dan kasar.

CT Scan menawarkan gambaran yang lebih mendetail mengenai potongan melintang organ hati dari berbagai sudut pandang.
Teknologi ini sanggup memperlihatkan sebaran tumor, lokasi pendarahan, atau tingkat keparahan sirosis secara sangat presisi.
Dokter radiologi membaca hasil foto ini untuk menentukan langkah pengobatan yang paling sesuai bagi kebutuhan pasien.
MRI juga sering menjadi pilihan alternatif untuk mendapatkan kontras gambar jaringan lunak yang lebih tajam dan jelas.
Evaluasi berkala melalui foto medis ini sangat penting untuk memantau progresivitas kerusakan organ dari waktu ke waktu.
Solusi Herbal Alami Pendukung Terapi Penyakit Hepatitis
Alam menyediakan kekayaan nabati yang menyimpan potensi besar dalam mendukung pemulihan fungsi hati secara aman dan efektif.
Kombinasi ekstrak tanaman jombang, temulawak, dan kunyit bekerja secara sinergis untuk melindungi sel hati dari kerusakan oksidatif.
Kandungan kurkumin dan antioksidan aktif dalam tanaman tersebut membantu meredakan peradangan serta mempercepat regenerasi sel.
Banyak ahli herbal menyarankan konsumsi rutin bahan alami ini sebagai pendamping gaya hidup sehat bagi organ hati.

Herbatitis hadir sebagai produk herbal yang memadukan ketiga kekuatan tanaman obat tersebut dalam satu kemasan praktis.
Komposisi bahan alaminya berkhasiat membantu memelihara kesehatan fungsi hati termasuk bagi penderita sirosis, hati berlemak, maupun penyakit kuning.
Produk ini juga aman bagi tubuh karena terbuat dari bahan alami tanpa menimbulkan efek samping yang merugikan.
Izin edar resmi dari BPOM dengan nomor TR203313081 menjamin kualitas dan keamanan produk bagi konsumen.
Konsumsi suplemen pendukung seperti Herbatitis dapat menjadi langkah bijak dalam menjaga vitalitas organ hati jangka panjang.
Bagi yang tertarik, akses informasi produk, konsultasi gratis, dan pemesanan selanjutnya bisa klik tombol di bawah ini.


